Susan Ash was basking in the glow of new motherhood when strange flashes of light began invading her vision.

The then-24-year-old brushed it off, blaming hormonal changes from pregnancy and the fact she’d been a lifelong sufferer of migraines.
But three months after giving birth, she collapsed at a soccer game and suffered a seizure.
She was rushed to the hospital where doctors then made a devastating discovery: she had a brain tumor.
She was told the tumor was slow-growing and had likely been there for years , possibly since she was born.
But its growth may have been sped up by the hormone fluctuations caused by pregnancy, triggering complications such as seizures.
Ms Ash, from New Hampshire, said: ‘I was paralyzed with fear.

I cried hysterically while holding my three-and-a-half-month-old baby, praying she wouldn’t have to grow up without a mom.’ Susan Ash, now 25, pictured above with daughter Julia who was born in July 2024.
Shortly after the birth, Ms Ash was diagnosed with a brain tumor.
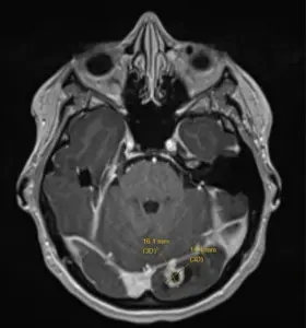
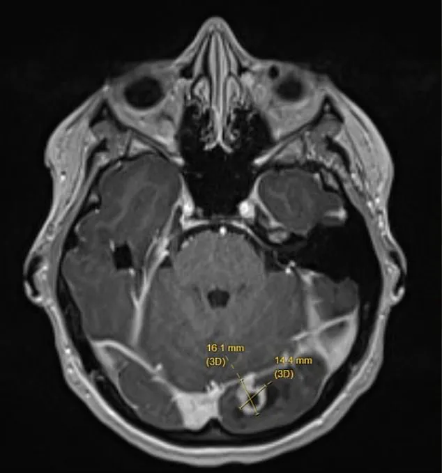
The above is a picture of the scan of Ms Ash’ brain, with the tumor shown by the yellow lines.
She added: ‘In retrospect, as a new parent I wasn’t connecting the dots and truthfully wasn’t concerned about this — I assumed it was stress.’
But when she went back to work seven weeks postpartum, the duration and frequency of these episodes [headaches and blurred vision] was increasing.

Doctors found the tumor on her left occipital lobe — the part of the brain at the back of the head responsible for processing visual information from the right eye.
Fortunately, the mass was not cancerous, but its location explained the strange flashes Ms Ash had been experiencing.
Experts say that during pregnancy, surging hormone levels — particularly estrogen and progesterone — can stimulate the growth of brain tumors.
These hormones can bind to receptors on the tumor itself, potentially accelerating its development, especially if it had been silently growing for years.
Ms.
Ash gave birth to her daughter, Julia, in July 2024.

Not long after, she began experiencing vision changes and persistent migraines.
Concerned but not alarmed, she visited her doctor, who referred her to a neurologist.
But when the symptoms seemed to ease after she began taking magnesium supplements, she canceled the appointment.
Then in October, while playing soccer with her family, Ms Ash suddenly collapsed mid-game.
She had suffered a grand mal seizure — a severe type of seizure that affects the entire brain, causing muscle stiffness and loss of consciousness.
She was rushed to hospital, where imaging scans revealed a marble-sized tumor pressing on her brain.

It was also causing irritation within the skull, leading to swelling, compression and intense headaches.
Ms Ash later shared that she had suffered from migraines for years and even recalled episodes of visual disturbances — like flashing lights — as early as age ten.
Doctors now believe these may have been early signs of the tumor’s presence, silently growing over the decades.
She was diagnosed after suffering a seizure while attending a family soccer game.
Rushed to the hospital, scans revealed an alarming brain tumor.
Ms Ash is pictured above with her partner and daughter Julia.
She described the symptoms she experienced: ‘On my right side I would see bright flashing lights that often moved in a circular motion, which would last a couple of minutes.
Then once that subsided, my peripheral vision would go blurry.’
Facing this grave diagnosis, Ms Ash was given two options by her doctors: to either leave the tumor or take it out and risk losing vision in her right eye.
She chose the latter, valuing life over sight. ‘Although there is a chance I will lose the vision in my right eye, it is a small price to pay to be alive,’ she said.
Eight months after giving birth, Ms Ash now faces new challenges due to this diagnosis and her symptoms.
The inability to drive or work has added financial stress to her life as she navigates motherhood and recovery.
At 25 years old, Ms Ash is determined to connect with others facing similar health battles online and raise awareness of the early symptoms preceding a brain tumor diagnosis.
About 90,000 Americans are diagnosed with a brain tumor every year, although most patients are aged 40 and above.
Doctors stress that many cases may have gone undiagnosed for years because their symptoms can be mistaken for other conditions — such as migraines or nausea.
Warning signs of a brain tumor include persistent headaches, nausea or vomiting, and vision problems like blurred or double vision.
Ms Ash added: ‘While being diagnosed with a brain tumor three months postpartum is pretty specific, I connect with a lot of people just from sharing how I am feeling.
Fear, anxiety, sadness, anger, grief, gratitude, a positive outlook, happiness in the little moment, pride — all of these things, we as humans feel.
Whether someone is gravitating towards my videos for the motherhood side, the medical side or the mental health side, my ultimate goal is for others to not feel alone.’














