A groundbreaking study from China has uncovered a startling connection between visible signs of aging on the face and the risk of developing dementia later in life.

Researchers found that individuals who appear older than their chronological age face a more than 60% increased risk of being diagnosed with dementia over a 12-year period, even after accounting for factors like health, lifestyle, and socioeconomic status.
This revelation, published in *Alzheimer’s Research & Therapy*, challenges long-held assumptions about aging and cognitive decline, suggesting that the skin may serve as a window into the brain’s biological clock.
The study’s findings were reinforced by a second investigation within the same report, which focused on the specific role of crow’s feet—wrinkles around the eyes.

Participants with the most pronounced crow’s feet had over double the odds of experiencing measurable cognitive impairment compared to those with minimal signs of aging in that area.
Scientists attribute this link to what they call *Common Pathogenic Mechanisms*: the idea that visible aging on the face reflects systemic biological processes that also affect the brain.
This theory posits that the skin’s appearance is not merely a cosmetic concern but a visual indicator of internal health and resilience.
The implications of this research extend beyond aesthetics.
Looking older than one’s actual age is not just about superficial signs like wrinkles or sunspots.

Instead, it represents a deeper, systemic biological aging process that may accelerate the risk of age-related diseases, including dementia.
Crow’s feet, in particular, are highlighted as a sensitive biomarker because they reflect cumulative environmental damage, such as prolonged sun exposure.
This damage triggers oxidative stress and inflammation, which are also key drivers of brain aging.
The thin, delicate skin around the eyes may act as a barometer for the body’s overall ability to repair itself, including the brain’s capacity to combat neurodegeneration.
The study’s authors emphasize that facial aging could serve as a practical tool for early intervention.

By incorporating perceived and objective measures of facial age into screening strategies, healthcare providers may identify individuals at higher risk of cognitive decline before symptoms become apparent.
This approach could revolutionize dementia prevention, allowing for targeted lifestyle modifications, medical interventions, or even pharmaceutical treatments tailored to those most vulnerable.
To validate their findings, the researchers conducted two distinct studies.
The first, using data from over 195,000 British participants aged 60 and older from the UK Biobank Study, revealed that those who reported looking older than their actual age had a 61% higher risk of dementia compared to those who appeared younger.
This association was strongest in specific subgroups: individuals with obesity, those who spent significant time outdoors during the summer, and people with a higher genetic risk of Alzheimer’s disease.
The link was particularly pronounced for vascular dementia, with a 55% increased risk, and unspecified dementia, which saw a 74% elevation in risk.
These results underscore the complex interplay between environmental factors, genetics, and biological aging.
While the connection between perceived aging and Alzheimer’s was less pronounced, the study highlights the importance of considering multiple pathways in dementia risk assessment.
Public health officials and medical professionals are now faced with a critical question: How can we use these visual indicators to improve early detection and intervention strategies for a growing population at risk of cognitive decline?
As the global population ages, the need for innovative screening tools becomes increasingly urgent.
This research not only adds a new dimension to our understanding of dementia but also offers a tangible, accessible method for identifying at-risk individuals.
However, experts caution that these findings should be interpreted within the context of broader health assessments, as facial aging is just one piece of a larger puzzle.
For now, the study serves as a compelling call to action for further research and the integration of these insights into clinical practice.
Jana Nelson’s life changed overnight when she was diagnosed with early-onset dementia at 50.
Once a sharp-minded professional, she now struggles with basic tasks like solving simple math problems or naming colors.
Her story is not unique.
Across the globe, researchers are uncovering a troubling link between how a person’s face appears to others and their risk of cognitive decline.
A groundbreaking study reveals that individuals perceived as older than their chronological age—regardless of sex, education, or other health factors—are more likely to suffer from dementia and cognitive impairment.
This connection, once dismissed as mere coincidence, is now being scrutinized with the precision of scientific inquiry.
The study, which followed thousands of participants, found that those who appeared older than their actual age were disproportionately smokers, men, and physically inactive.
They also exhibited higher rates of depressive symptoms and other health conditions.
More alarmingly, their cognitive performance lagged.
On standardized tests measuring processing speed, executive function, and reaction times, these individuals scored significantly lower.
The implications are stark: the way we age externally may be a window into the health of our brains.
In a separate study conducted in China, researchers took a novel approach.
They showed photographs of 600 older adults to a panel of 50 independent assessors, who were asked to guess each person’s age.
The results were striking.
For every year a person was judged to look older than their actual age, their odds of having measurable cognitive impairment increased by 10 percent.
This correlation held even when controlling for known risk factors like genetics and lifestyle.
The findings suggest that facial aging is not just a cosmetic issue but a potential biomarker for underlying health decline.
To dig deeper, the researchers used advanced imaging technology to analyze facial features.
They counted and measured wrinkles, particularly the crow’s feet around the eyes.
The Line Wrinkle Contrast—a metric that assesses how prominent wrinkles are relative to surrounding skin—proved to be the most significant indicator of cognitive impairment.
Other skin metrics, like hydration and elasticity, showed weaker links.
The conclusion was clear: the visibility of wrinkles, especially around the eyes, may reflect systemic processes that also harm the brain.
The aging process is a complex interplay of biological and environmental factors.
Chronic inflammation, a key driver of cellular aging, is now being linked to both facial aging and dementia.
This inflammation, which accelerates brain degeneration and is tied to conditions like heart disease and diabetes, may leave its mark on the face.
Experts warn that these findings could revolutionize early detection strategies.
If facial aging is indeed a visible sign of systemic inflammation, then monitoring it could offer a non-invasive way to identify those at risk for cognitive decline.
For patients like Rebecca Luna, whose early-onset Alzheimer’s symptoms began in her late 40s, the study’s implications are deeply personal.
She would black out mid-conversation, lose her keys, and forget to turn off the stove, returning to find her kitchen engulfed in smoke.
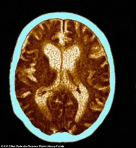
Her brain scan reveals the devastating toll of Alzheimer’s: atrophy in critical regions and dilated ventricles.
Yet, the study suggests that the signs of her condition may have been visible long before her symptoms emerged.
The wrinkles on her face, once dismissed as a natural part of aging, could have been an early warning signal.
Public health officials and medical experts are now urging a shift in how we view aging.
The findings challenge the notion that cognitive decline is an inevitable part of growing older.
Instead, they highlight the importance of addressing systemic inflammation, lifestyle factors, and early intervention.
As one researcher put it, the face may be the body’s first mirror, reflecting the health of organs we cannot see.
For now, the message is clear: looking older than you are may not just be a matter of vanity—it could be a matter of life and death.













