Bella Bayliss's Case Highlights Gaps in Healthcare Regulations
In January 2019, Bella Bayliss, then 19 years old, arrived at the A&E department of Gloucestershire Royal Hospital with a constellation of alarming symptoms: severe abdominal pain, breathlessness, and extreme bloating.
Her condition was so debilitating that she described being pale, losing her appetite entirely, and experiencing numbness in her legs and tingling in her hands.
Despite these red flags, medical staff dismissed her concerns, attributing her symptoms to “women’s problems.” The encounter left Bayliss deeply unsettled, as she insisted, “I knew it wasn’t that.” Her decision to return home marked the beginning of a harrowing journey that would ultimately reveal a rare and aggressive form of cancer.
The following months were a blur of worsening symptoms and frustration.
By November 2019, Bayliss had returned to the same hospital, this time demanding tests to address the persistent issues that had plagued her since the initial visit.
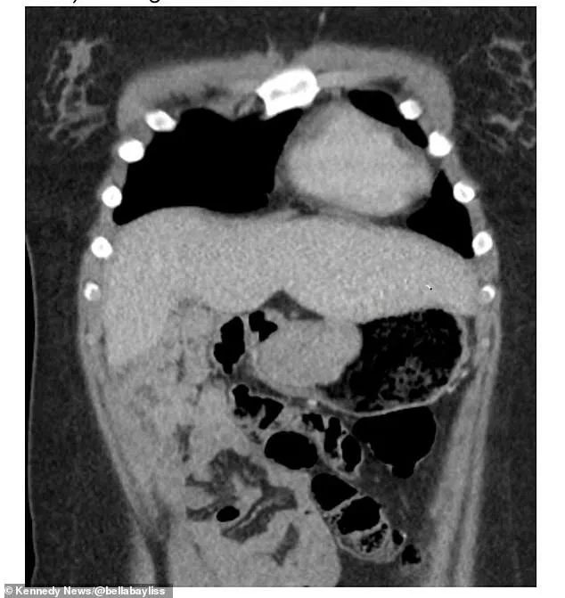
Her persistence led to an endoscopy, a procedure involving the insertion of a flexible tube with a camera through the throat to examine the upper digestive system.

The results were revelatory: a 6cm gastrointestinal stromal tumor (GIST) had been growing in her stomach.
This rare form of cancer, which affects 10-15 people per million annually, accounts for just 1-2% of all gastrointestinal cancers.
Its symptoms—such as a feeling of fullness, abdominal pain, and nausea—had mirrored Bayliss’s own experiences, though the initial misdiagnosis had delayed treatment by nearly a year.
GISTs are particularly challenging to treat due to their biological nature.

Unlike many cancers, they do not typically respond to standard chemotherapy, making surgical removal the primary course of action.
In Bayliss’s case, surgeons had to remove 70% of her stomach to excise the tumor.
She later reflected that the delay in diagnosis had likely allowed the cancer to grow larger, necessitating a more extensive operation. “If they hadn’t left me for so long, I wouldn’t have had to have that much of my stomach removed,” she said.
The surgery, while successful, left her with lasting physical and emotional consequences, including a significant scar and a dramatic change in her ability to eat. “I can’t eat a lot anymore,” she explained. “I just try to have small meals throughout the day.
I get scared to have food with my friends or have a drink sometimes.” Despite these challenges, Bayliss has shown resilience.
She described her scar as a symbol of strength, stating, “I have a massive scar from my surgery, it’s had an impact on my confidence.

I would try and hide it for a while and now it’s something I’m actually very proud of.” However, her journey took a devastating turn in autumn 2025, when a routine scan revealed that the cancer had returned.
Two new tumors had appeared on her liver, a development that left her and her family in shock. “I had a scan at the end of September thinking ‘it’s just another scan,’” she recalled. “They said they found two shadows on my liver and I just instantly knew it was that.
I had a phone call not long after saying it was my cancer and it had come back.” The recurrence has brought a wave of uncertainty and fear. “At first I was shocked because after five years you think it’s a part of your life you can put behind you,” Bayliss said. “I was very shocked, me and my mum and dad were devastated.
This time it felt different, I think you worry when it comes back.” Currently, medical teams are working to identify effective medication, though Bayliss emphasized that surgery remains the only potential cure.

Her story has also prompted Gloucestershire Hospital NHS Foundation Trust to issue an apology for the initial misdiagnosis.
A spokesperson stated, “We are very sorry to hear that Miss Bayliss’s cancer has returned, and we understand how distressing this must be for her and her family.
We are also sorry about the experience she had with her care in 2019 and 2020.
We are sorry that it was not detected when she was first seen and have used her experience to reinforce the importance of appropriate investigation in similar situations.” Bayliss’s experience underscores the critical need for vigilance in diagnosing rare cancers and the profound impact that delayed care can have on patients.
As she continues to navigate the challenges of her illness, her story serves as both a cautionary tale and a testament to the resilience of those who face life-threatening conditions with courage.
Photos