From Blurred Vision to Brain Tumor: How Hormonal Contraceptives May Be Linked to Shelley Whittaker's Rare Diagnosis
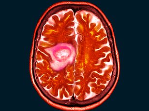
When Shelley Whittaker first noticed her vision blurring in November 2024, she dismissed it as a side effect of her mascara. The 47-year-old mother-of-one from Bolton, Greater Manchester, laughed off the symptoms for months, convinced the issue was cosmetic rather than medical. It wasn't until May 2025 that she sought professional help, visiting an optician for a routine check-up. That decision would ultimately lead to a life-altering diagnosis: a rare, golf-ball-sized benign brain tumor known as a spheno-orbital meningioma. The discovery upended her understanding of her own health and ignited a broader conversation about the potential risks of long-term use of hormonal contraceptives.
Ms. Whittaker, a health and hygiene worker, was referred to an eye clinic after her optician flagged persistent visual disturbances. There, imaging revealed a tumor pressing against her optic nerve, causing her left eye to bulge and threatening her vision. Her neurologist's questions about her medical history took an unexpected turn when he inquired whether she had ever used the contraceptive injection medroxyprogesterone, marketed as Depo-Provera. Ms. Whittaker confirmed that she had been prescribed the jab for 15 years—a revelation that prompted the doctor to urge her to stop immediately, citing its potential links to meningiomas.

The surgery to remove 90% of the tumor was a grueling 10-hour procedure, leaving Ms. Whittaker with a permanent reminder of the risks she had unknowingly taken for over a decade. "I used to encourage people to take it, like me," she said, reflecting on her past advocacy for the contraceptive. "It needs to be out there that there are risks if you're a long-term user of it." The remaining 10% of the tumor could not be safely removed due to its proximity to her optic nerve, leaving her with a lifelong condition that requires ongoing monitoring.
According to NHS guidelines, prolonged use of medroxyprogesterone—specifically beyond three years—may slightly increase the risk of developing a meningioma, though such cases are described as rare. Ms. Whittaker, however, was unaware of this connection until her diagnosis. She had been informed of more common side effects, such as weight gain and the need for calcium-rich diets, but the possibility of a brain tumor was never discussed. "I never had any problems," she said. "I had weight gain, but I was aware of that. I just came across some blurred vision in my left eye. It felt like I had something in it."
The timeline of her symptoms and diagnosis highlights the importance of early intervention. Had she delayed seeking help by even a few months, the tumor could have caused permanent blindness in her left eye. "If I'd have left it a month longer, two months longer, I could potentially have been blinded," she said, underscoring the urgency of medical attention when unusual symptoms arise. Her neurologist's warning about Depo-Provera came as a shock, but it also served as a wake-up call for others who may be using the contraceptive without fully understanding its long-term implications.
Pfizer, the manufacturer of Depo-Provera, emphasized in a statement that patient safety is their top priority. They reiterated that the drug has been approved in over 60 countries and has a well-established safety profile, though they acknowledged the importance of ongoing monitoring. The Medicines and Healthcare products Regulatory Agency (MHRA) echoed this stance, affirming its commitment to tracking the safety of all licensed medications. Both organizations urged individuals with concerns to consult their healthcare providers, highlighting the need for open dialogue between patients and medical professionals.

Ms. Whittaker's experience has become a cautionary tale for those relying on hormonal contraceptives, but it also raises questions about how risks are communicated to users. While her doctors did warn her of weight gain and dietary considerations, the possibility of a rare but serious condition like meningioma was absent from their discussions. As she now navigates life with the tumor, she remains determined to share her story, hoping to inform others about the potential hidden dangers of long-term contraceptive use. "I've got to live with this tumour for the rest of my life," she said. "But I've got to try and forget that and carry on and try to live the life I've got left.
A groundbreaking injectable contraceptive, containing medroxyprogesterone acetate (MPA), has been a staple for many seeking long-term pregnancy prevention. But what happens when the very medicine designed to protect health reveals unexpected risks? In 2024, regulators faced a dilemma: how to balance the drug's effectiveness with emerging evidence linking high-dose MPA to a rare but serious brain tumor called meningioma. This wasn't a sudden discovery—it was the result of years of study, yet the implications were profound. How do you inform millions of users without causing panic? The answer lay in careful, incremental updates to product information.
The first wave of changes came in 2024, triggered by studies showing a measurable increase in meningioma risk among users of high-dose MPA. This wasn't a call to abandon the drug outright, but a warning that the benefits and risks required closer scrutiny. By early 2025, regulators had refined their approach, introducing new safety measures and clearer guidance for both healthcare providers and patients. The Patient Information Leaflet, a document often overlooked, became a critical tool. It now includes detailed descriptions of meningioma symptoms—headaches, vision changes, seizures—and explicitly advises users to seek medical attention if these arise.
But here's where the story gets complex. For most users, the drug remains a lifeline, offering reliable contraception with minimal side effects. Yet, the updates have sparked questions: Should long-term users be monitored more closely? Are there alternative formulations with lower risk? The answer, as always, hinges on individual circumstances. Healthcare providers now play a pivotal role, acting as intermediaries between scientific data and personal health decisions.

This isn't the first time the drug's profile has been scrutinized. Early in its development, MPA was celebrated for its efficacy, but the 2024 and 2025 updates mark a turning point. They reflect a growing trend in medicine: transparency about risks, even when they're rare. The challenge lies in ensuring that users understand these risks without losing trust in the medication. After all, what good is a safer contraceptive if it's no longer used?
The final piece of the puzzle is communication. The updated leaflets and guidelines are only as effective as the conversations they inspire. Patients are urged to speak with their GPs, pharmacists, or contraceptive providers—steps that may feel small but are vital. In a world where health information is abundant yet often conflicting, these interactions become lifelines. Are we, as a society, prepared to engage in these difficult but necessary discussions? The answer may determine the future of this drug—and the lives it touches.