Kimberly Pelling's Defiant Battle Against Rare Brain Cancer: A Mother's Journey Through Aggressive Treatment and Uncertain Prognosis
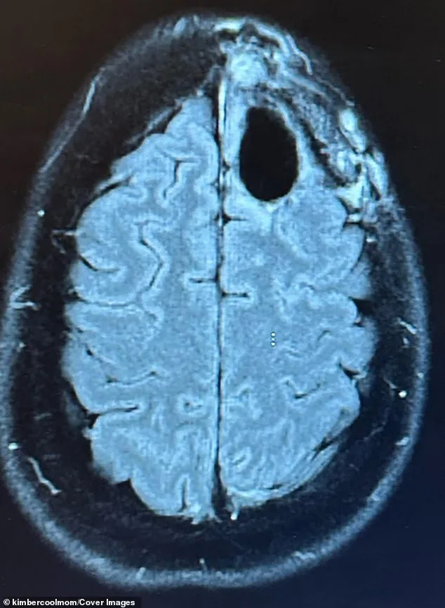
Kimberly Pelling's journey with grade-four IDH-mutant anaplastic astrocytoma, an aggressive and typically incurable brain cancer, began in August 2022. At 42 and four months postpartum, the mother of two young sons was thrust into a medical crisis when sudden seizures and persistent brain fog led to an emergency MRI. The scan revealed a lime-sized tumor in her frontal lobe, a region critical for cognitive function and emotional regulation. A biopsy confirmed the diagnosis: a tumor that typically leaves patients with a median survival of around 31 months. For Pelling, the revelation felt like a cliff edge — her life, and her family's future, hanging in the balance.
The standard protocol for such tumors involves aggressive treatment, including surgery, radiation, and chemotherapy. Pelling underwent this regimen, enduring months of grueling therapy that left her bedbound, battling fatigue, hair loss, and cognitive fog. Initially, a clear scan offered hope, but eight months later, a new inoperable tumor emerged. Her prognosis was now reduced to a single year. At this crossroads, Pelling made a decision that defied medical expectations: she stopped treatment and pivoted toward a radical lifestyle overhaul.

Her journey into holistic health began with extensive research, drawing from survivor stories and alternative protocols. Pelling's approach centered on a strict carnivore diet, emphasizing grass-fed beef, eggs, butter, and minimal sugar intake — a strategy she believed could starve the cancer. Her regimen included supplements like black seed oil, curcumin, and methylene blue, a synthetic compound with emerging neurological benefits. She also incorporated unconventional elements, such as bitter apricot seeds and a high dose of melatonin, which she documented for her online community.

One moment, however, captured public attention: a conversation with her son about her blue-colored drink. The child asked why it was blue, prompting Pelling to explain the use of methylene blue. While the compound is FDA-approved for certain blood disorders, its role in cancer treatment remains under investigation. Peer-reviewed studies suggest it may induce cell death in astrocytoma cells, though its mechanisms are not fully understood. Pelling's use of such supplements highlights both the potential of alternative approaches and the risks of unproven therapies.
By 2025, a routine brain scan revealed no evidence of cancer. The news was surreal for Pelling, who had walked into the appointment expecting the worst. Yet, she acknowledges the uncertainty of her condition — cancer may return, and her story is not a guarantee of survival. Her message, however, is clear: hope persists even in the face of grim prognoses. Pelling now prioritizes living fully, running, caring for her sons, and sharing her journey as a source of inspiration, not a medical directive.

Experts emphasize that while diet and supplements can support overall health, they are not substitutes for professional medical care. Pelling herself stresses the importance of consulting healthcare teams before making drastic changes. Her story underscores the complex interplay between patient agency and medical science, a balance that remains critical for those navigating life-threatening diagnoses. For Pelling, every day with her children is a miracle — a testament to resilience, faith, and the unpredictable nature of human survival.

The broader implications of her case raise questions about the role of integrative medicine in oncology. While some studies suggest certain compounds may have anti-cancer properties, the evidence is often preliminary and not universally accepted. Communities grappling with similar challenges must weigh personal choices against clinical guidelines, a decision that carries both promise and risk. Pelling's journey is a poignant reminder that hope and science, though distinct, can coexist in the pursuit of healing.
As of now, Pelling continues to live without visible cancer, but she remains vigilant. Her experience is not a blueprint for others, but a narrative of perseverance in the face of adversity. For those in her situation, the message is both empowering and cautionary: take control of your health, but never at the expense of professional guidance. The road ahead is uncertain, but for Pelling, the present is a gift — one she is determined to cherish, every single day.