New Study on 'Broken Heart Syndrome' Explores Breathing Exercises as Prevention Tool
A rare but increasingly recognized heart condition that mimics a heart attack is drawing new attention from scientists, who warn that it can strike even the healthiest individuals. Known as takotsubo cardiomyopathy, or broken heart syndrome, this condition shares alarming symptoms with a heart attack, including chest pain, shortness of breath, and irregular heartbeats. Yet unlike a heart attack, which is typically linked to blocked arteries, takotsubo syndrome is triggered by intense emotional or physical stress, such as the death of a loved one, severe illness, or even a joyous event like a wedding or childbirth. Researchers at New York University Langone Health are now launching a clinical study to investigate whether deep breathing exercises can help prevent future episodes in patients with a history of the condition.
The syndrome can occur at any age but is most common in women aged 58 to 75. It is estimated to account for 1% to 2% of cases presenting with heart attack-like symptoms. Unlike a heart attack, which kills 12% to 15% of patients, takotsubo syndrome is generally not fatal. It involves a temporary weakening of the heart muscle, often due to a surge of stress hormones like adrenaline, but the heart typically recovers within weeks or months. The condition is not classified as rare, yet its true prevalence remains underreported, partly because it is often misdiagnosed or overlooked.

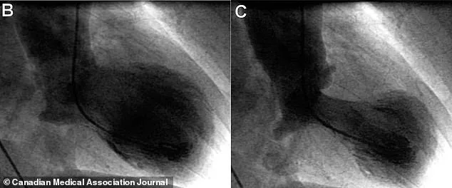
Diagnosing takotsubo syndrome is a meticulous process. Doctors first rule out a heart attack using tests like echocardiograms, which reveal a distinctive shape to the heart's left ventricle. In takotsubo syndrome, the lower part of the heart balloons outward while the neck remains narrow, resembling a Japanese octopus trap called a takotsubo. Blood tests for troponin, a protein released during heart damage, are also used. However, the definitive diagnosis requires a cardiac catheterization to confirm that no arteries are blocked. This distinction is critical: while the symptoms mirror a heart attack, the underlying causes are entirely different.

Experts emphasize that the condition is not a sign of poor health. Many patients are physically active, have no history of heart disease, and maintain healthy lifestyles. Stressors that can trigger the syndrome range from financial strain and domestic violence to the loss of a loved one or even a sudden positive event, such as a promotion. Dr. Harmony Reynolds, a cardiologist at NYU Langone Health, noted that stress responses are biological, not personal failings, and that no one should blame themselves for developing the condition. She also highlighted that cumulative stress, not just a single traumatic event, can contribute to the syndrome.
Treatment for takotsubo syndrome is not standardized but often includes medications like beta blockers, ACE inhibitors, and diuretics to manage symptoms. Long-term use of beta blockers is common to reduce the risk of recurrence by dampening the effects of adrenaline. Managing stress through lifestyle changes, therapy, or breathing exercises is also a key part of recovery. The new study at NYU Langone aims to explore whether deep breathing can activate the parasympathetic nervous system, potentially reducing the risk of future episodes. If successful, this could offer a non-invasive, accessible treatment option for patients with a history of the condition.

Public health experts stress the importance of recognizing takotsubo syndrome as a legitimate medical issue. While it is not life-threatening in most cases, the temporary heart damage can be severe, and the emotional toll of experiencing symptoms akin to a heart attack can be profound. As research continues, the hope is that better understanding of the condition—and its triggers—will lead to more effective prevention and treatment strategies, reducing the long-term impact on patients and their families.