Young Fitness Buff Dismisses Heart Attack Symptoms as Spicy Food Effect, Survives Near-Fatal Crisis
A 34-year-old Florida man, Mario Ciccarello, initially dismissed his chest pain as a side effect of spicy food—only to later realize he had survived a near-fatal heart attack. The warehouse worker and ultra-marathon runner was in the middle of a workout in February when he began experiencing sharp, persistent chest pain that radiated to his shoulder and left arm. These were textbook warning signs of a heart attack, yet his fitness background and youth led him to assume the discomfort was caused by the Mexican food he had eaten the night before. His partner, Stephanie James, recalls him coming home midday, asking for a nap and jokingly muttering, 'I might be dying.' The moment was chillingly ironic, as Ciccarello's heart was already in crisis. His resting heart rate had spiked to 112 beats per minute, a red flag indicating severe cardiac strain. 'It felt like my heart was shutting down,' he later told reporters, describing the wave of pain that returned with even greater intensity, leaving him convinced he was on the brink of death.

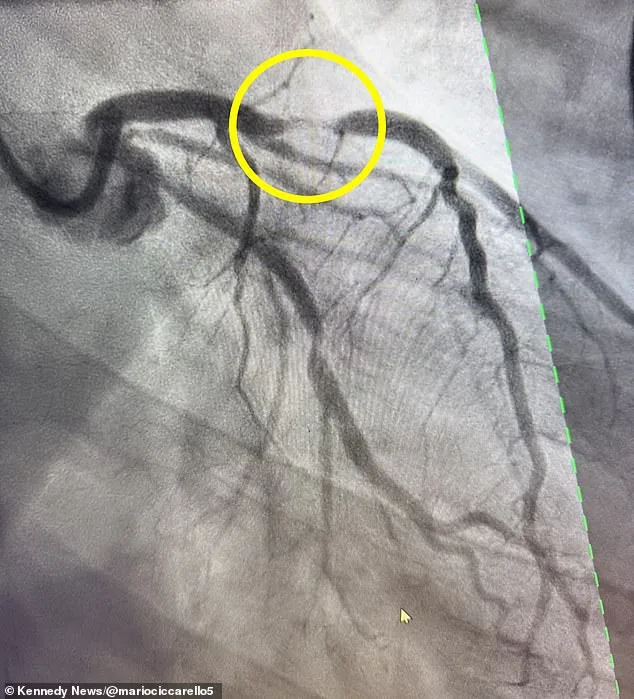
When the pain became unbearable, Ciccarello confronted James, insisting this was no longer a joke. The couple rushed to the hospital, where scans revealed a 95% blockage in his left anterior descending (LAD) artery—a condition known as a 'widow-maker' heart attack. This type of event is named for its high fatality rate, with only about 12% of patients surviving due to the catastrophic damage it inflicts on the heart's pumping chamber. Doctors explained that the LAD artery supplies over half of the heart's blood, making its blockage a medical emergency. While such attacks are more common in men in their 40s, women over 50 are also at heightened risk. Ciccarello's case is part of a troubling trend: heart attacks among young, seemingly healthy individuals are rising. In 2019, 0.3% of adults under 40 had experienced a heart attack, but by 2023, that number had jumped to 0.5%—a 66% increase in just four years. Now, one in five heart attack patients is under 40, a shift that has stunned medical professionals.

Experts are scrambling to understand why this is happening. While traditional risk factors like obesity and poor diet play a role, many young patients, including Ciccarello, have no clear explanation for their condition. Doctors suspect a genetic predisposition may be at work, though tests are ongoing to pinpoint the exact cause. Environmental factors, such as pollution, and delayed medical screenings are also under scrutiny. 'This is not just about lifestyle choices,' said one cardiologist involved in Ciccarello's case. 'There's something in the environment or our genetics that we're not fully understanding yet.' Despite the grim statistics, Ciccarello's story has a silver lining. Emergency interventions, including the placement of two stents to restore blood flow, saved his life. Now on blood thinners and undergoing genetic testing, he is using social media to warn others about the subtle signs of a heart attack: chest pain, shortness of breath, dizziness, nausea, fatigue, and lightheadedness. 'I could have died,' he said. 'Every minute you wait, more damage is done. I wish I had gone to the hospital sooner.'

Ciccarello's experience serves as a stark reminder that heart attacks can strike anyone, regardless of age or fitness level. His journey from confusion to survival underscores the critical importance of recognizing symptoms and seeking immediate help. 'This isn't just about me,' he said. 'It's about saving lives. People need to know that even if you're young and fit, your heart can still fail—and it can happen in an instant.' As he continues to recover, his message is clear: don't ignore the signs. Time is the most valuable asset when facing a cardiac emergency, and every second counts.